ピュアラルホワイトニングで理想の白い歯へ!
圧倒的な効果と実績
多くのお客様に選ばれ続ける理由があります!!
(特定保守管理医療機器)
医療レベルに迫る圧倒的な効果を実現!
LED数:17個
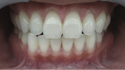
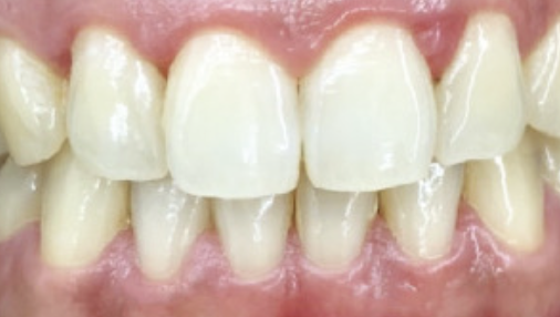
施術前
コーヒー・紅茶による着色で黄ばんだ歯
施術後(美容ホワイトニング)
施術回数:1回
2トーンアップ
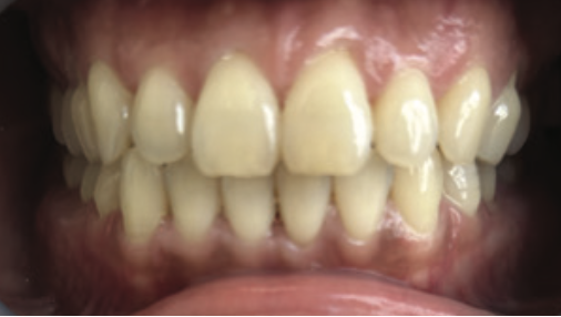
施術前
コーヒー・紅茶・タバコによる着色で黄ばんだ歯
施術後(医療ホワイトニング)
施術回数:6回
12トーンアップ
ピュアラルホワイトニングが選ばれる理由
しみない・痛くない安全な施術
ホワイトニング溶液の主成分は、食品や歯磨き粉にも使用されている安全性の高い「酸化チタン」。歯や歯茎にダメージを与えず、痛みは一切ありません。
1回で効果を実感
1回の施術で平均1〜4トーン明るくなる方が多く、効果を実感できます。回数を重ねることで更に透明感のある自然な白さを目指せます。
最短30分のスピード施術
2回目以降は30分で完了!待ち合わせ前、買い物途中、休憩時間、お仕事帰りなど手軽にケアが可能です。
施術直後から飲食OK
汚れを落とすだけでなく、歯の表面をコーティングして汚れの再付着を防ぐので、ホワイトニング直後から飲食が可能です。
リーズナブルな価格設定
歯科医院の半額以下で本格的なホワイトニングを体験。継続しやすい価格設定で理想の白さを維持できます。
24時間いつでも予約可能
ネットから24時間、簡単フォーム入力で予約完了。
完全予約制
待ち時間ゼロでホワイトニングが可能。
※前日までの予約が必須です。
※当日予約の場合は、お電話かLINEでご連絡ください。
駐車スペース完備
敷地内どこに停めてもOK。
お客様の声
「本当に1回で白くなりました!全く痛みもなく、スタッフの方も丁寧で安心して受けられました。定期的に通おうと思います。」
「歯科医院と比べてこの価格でこの効果は驚きです。清潔で居心地の良い空間で、リラックスして施術を受けられました。」
「結婚式前に利用しました。写真映りが全然違って、友人にも『歯が白くて綺麗』と褒められました。本当に来て良かったです!」
「初めてのホワイトニングだったけど負担が全然なく効果絶大!また、施術中のマッサージチェアで身体も楽になりました!」
安全性と効果へのこだわり
医療機関と同等の安全基準
- 食品添加物にも使用される安全な「酸化チタン」を使用
- 国内認可工場で製造されたオリジナル薬剤
- 紫外線を発しない可視光線帯の3色LEDライト
- 徹底した衛生管理と器具の滅菌処理
- 業界最高出力80W
- 一般医療機器(特定保守管理医療機器)認定済
セルフホワイトニングの流れ
よくあるご質問 Top5
メニューによって異なります。
美容ホワイトニング :1~2段階のトーンアップを目指せます。
プレミアムホワイトニング:1~3段階のトーンアップを目指せます。
医療ホワイトニング :1~4段階のトーンアップを目指せます。
ございません。
施術直後からお好きな物を召し上がれます。ただし、医療ホワイトニングの場合、最低2時間は控えていただきたいものがございます。
必要です。
お客様に待ち時間なく施術を受けていただくため、完全予約制とさせていただいております。
予約の空席状況はホームページからご確認いただくか、お電話かLINEにてご連絡ください。
可能ですが虫歯治療を優先していただくことを推奨します。
歯科医師に確認していただくことが最善です。
美容ホワイトニングのみ施術可能です。

